近日,在陈丽宏主任的带领下,妇科专业于翠革主任医师团队完成医院首例宫腔镜下子宫内膜赘生物刨削系统切除术。
患者为一位老年女性,宫腔镜检查发现宫腔内大小约2.5*1.5cm息肉样赘生物,因赘生物基底部较宽,无法实施冷刀摘除术。在与患者及家属沟通病情及治疗方案后,在手术室及麻醉部配合下,由于翠革主任医师团队完成手术,手术过程顺利,全程无出血,术后探查宫腔内壁平整。
宫腔镜刨削系统是一种以机械旋切为原理的宫腔镜组织切除系统,刀片在设备内高速旋转,切割效率高,可同时进行组织切除和组织吸引,临床适应症为宫腔良性疾病,有子宫粘膜下肌瘤(G0/G1型)、子宫内膜息肉、宫内妊娠组织残留、宫腔粘连等。与传统的宫腔镜电切术相比,其优势有:1.纯粹冷刀操作,机械性分离,对子宫内膜无电热损伤,术后恢复快。2.同步实施组织切除和吸引,手术视野更加清晰。3.持续切割操作,缩短手术时间,降低液体吸收超负荷的风险。4.侧面刀头避免周边组织副损伤以及子宫穿孔。5.无电切过程中气体栓塞的风险。宫腔镜刨削系统最大限度降低了对子宫内膜的副损伤,缩短了手术时间,手术视野清晰,是一种更加安全有效的手术解决方案,尤其对于育龄期女性能发挥保护子宫内膜的重要作用,是有生育要求的宫腔病变患者的福音。
为紧跟医院高质量发展的要求以及更好地满足人民群众日益增长的医疗需要,妇科专业一直以来在新技术新业务等方面刻苦钻研,在妇科疾病诊疗方面积累了丰富的经验,为广大女性保驾护航。

图1.宫腔镜检查提示宫腔后壁大小约2.5cm*1.5cm息肉样赘生物,蒂宽

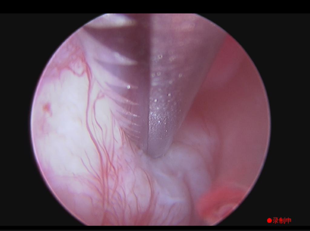
图2.宫腔镜下刨削系统切除子宫内膜赘生物

图3.术后探查宫腔内壁平整,无残留赘生物组织,未损伤周围组织