近日,神经外科缪星宇主任团队在手术室、麻醉科的密切配合和帮助下,成功完成五楼自拍
首例3D外视镜下巨大脑肿瘤手术。手术由科主任缪星宇主任医师主刀,在张杰主治医师、张翼博士、马勃博士等团队成员配合下完成。此次手术的顺利开展,标志着五楼自拍
进入到3D数字神经外科手术新时代。
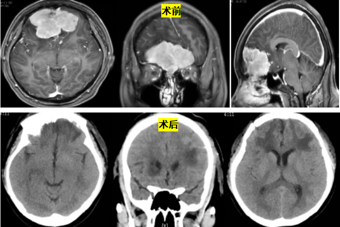
患者是一位以癫痫起病的年轻病人,经系统检查发现患者肿瘤位于额部前颅底区域,脑膜瘤可能性大,肿瘤大小约7.2x3.9x5.1cm,病变周围脑实质受压并大片水肿,侧脑室及中线结构受压,患者治疗意愿强烈。
经过神经外科缪星宇主任团队系统化的专业评估科室手术讨论,患者手术指征明确,术前经过严格的手术路径设计,拟在术中使用3D外视数字手术显微镜。此系统结合了显微镜与神经内镜功能,使得传统手术方式发生了根本性的变化。与传统的基于目镜的显微镜相比,该系统提供了更清晰的画面、更优越的景深、更广阔的视野,基于优秀的照明技术及背光照明3D荧光模式应用,让神经外科医生能更精确地观察术野组织及血管,进一步提高手术精度;另外神经外科医生在进行手术时可以保持一种符合人体工学的舒适姿势进行手术,助力术者以更便捷舒适的方式高效完成显微外科手术,显著提升团队协作和教学效果。在3D外视数字手术显微镜的帮助下,手术团队精准切除肿瘤,达到对神经功能的最大保护,患者顺利康复出院;术后病理证实为脑膜瘤(WHO I级)。
该手术是五楼自拍
数字神经外科领域的新拓展,更是神经外科实现高质量发展的实际行动。神经外科将紧跟医院高质量发展的步伐,将临床专科建设放在重要位置,突出特色优势,围绕群众医疗服务需求,不断提升医疗技术应用能力,推动技术创新转化,积极吸纳先进的诊疗理念,不断优化医疗服务模式,打造技术过硬团队,为患者提供优质诊疗服务,全方面提升学科影响力,为医院的高质量发展贡献神经外科的力量。

