近日,心血管内科(西咸)团队在ECMO支持下,成功完成一例极高危无保护左主干病变的介入治疗。
患者中老年男性,因“间断胸闷1月,加重1周”就诊于当地医院,行冠脉造影示:左主干严重病变,建议转上级医院诊疗,遂转诊至五楼自拍
。左主干严重狭窄发生致命性左室功能不全和恶性室性心律失常的危险性极高,患者命悬一线。心血管内科(西咸)接诊后,刘新宏主任医师、朱舜明副主任医师立即组织全科进行疑难讨论,患者左主干严重狭窄,右冠细小且重度狭窄,手术风险极高。需要高级生命支持,以保障手术顺利进行。心内科团队决定在ECMO支持下,对患者进行介入治疗。
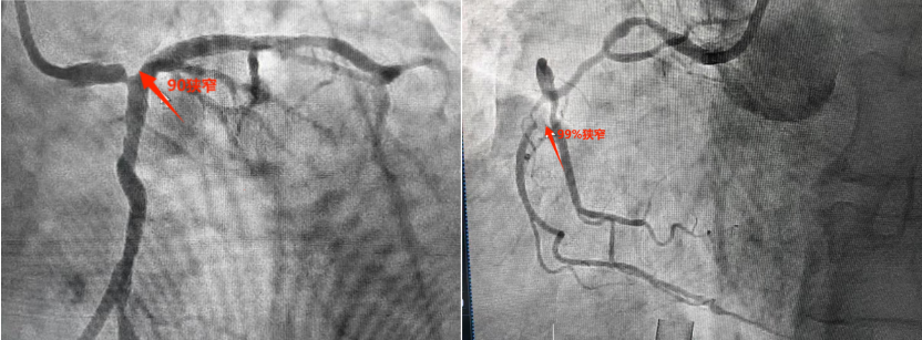
3月7日,西咸院区心内科冠心病介入团队朱舜明副主任医师带领唐治国主治医师、李强强主治医师、张翔住院医师、柳莎莎护士长、崔文宇护师,以及介入导管室团队雷博副护士长、瞿浩主管技师、李炳宇技士,顺利完成物品准备、上机准备、血管评估、穿刺置管等工作,心内科刘博主治医师、梁倩住院医师、刘志远住院医师完成了配血、备血等保障工作,所有医护齐心奋战,整个流程一气呵成,ECMO转机成功。暗红色血液经过膜肺氧合变成鲜红血液,源源不断重返患者体内。术中冠脉造影可见患者左主干末端90%严重狭窄,细小右冠99%狭窄。在ECMO辅助下,心内科介入团队开始进行手术操作。当导丝通过接近闭塞的血管时,患者即出现血流减慢,血压瞬间降至50/30mmHg,透视下心脏几乎不跳动。所有手术人员都捏了一把汗。朱舜明副主任医师迅速指挥抢救,通过提升ECMO转速和流量,并快速用球囊扩张狭窄血管后,患者血流动力学恢复稳定,血压升至110/70mmHg。后续在血管内超声(IVUS)指导下,历时1小时余,完美完成了左主干血运重建。观察患者生命体征平稳后,撤除ECMO并缝合动静脉伤口,体表仅留下不到2cm的痕迹,患者术后胸痛症状明显好转,安返病房,监测生命体征平稳。
西咸院区心内科开诊以来,积极开展危重患者的救治,不断探索高精尖新技术的开展,为患者保驾护航。目前心血管内科(西咸)已常规开展冠脉造影,支架植入,药物球囊;血管内超声(IVUS),光学断层相关影像(OCT),冠脉血流分数储备(FFR),冠脉内高速旋磨(ROTA),准分子激光斑块消融(LASER),主动脉内球囊反搏(IABP),体外膜肺氧合(ECMO);先心病封堵术;射频消融术;心包穿刺术等技术,完成多例复杂危重患者的救治。西咸院区心内科将以饱满的热情、精良的技术、先进的设备、优美的环境,为广大病患提供最优质的服务。

介入治疗前造影

介入治疗后造影图及术后ECMO伤口
