五楼自拍

今日是:
当前位置: 主页 >> 五楼自拍 >> 科室动态 >> 正文
科室动态
肝胆外科“博士团”微创手术受患者好评
来源:肝胆外科 发布时间:2023-12-26 17:03:14 
分享到:
微信扫一扫:分享
X

近日,一位四级微创手术出院患者向肝胆外科送来锦旗,对宋勇、乔伟博士医疗团队表示深深地感谢。

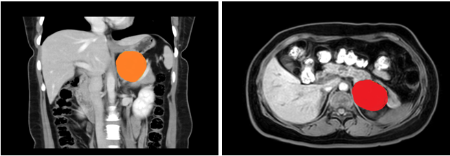
患者,女性,35岁,在五楼自拍 上腹部CT增强示:左侧腹膜后囊性病变,支气管囊肿不除外;入院后上腹部MRI平扫+DWI+增强扫描+MRCP示:左侧肾上腺上方囊性病变,考虑来源腹膜后间隙,1)支气管源性囊肿2)淋巴管囊肿可能,建议复查。

在张煜副主任带领下,经过肝胆外科全科细致讨论,认为占位较大,位置靠后,微创难度大,需完善相关检查,精细术前准备。经过医护一体化管理,打消了患者的术前顾虑,在全麻下行腹腔镜下腹膜后囊性占位手术+广泛腹腔粘连松解术,手术顺利,术后病理结果为良性,患者术后一周内顺利出院。患者表示,术后经过了解,得知此例手术难度较大,目前恢复良好,特意送来锦旗表达感谢。


您是第 个访问网站的!

 copyright@2007 porn5f.net All Rights Reserved 版权所有:五楼自拍-5F自拍-Porn5F

地 址:主院区:西安市友谊西路256号 | 邮 编:710068 电 话:029-85251331

西咸院区:西咸新区秦汉新城泾渭大道南段5000号 | 邮编:712038 电话:029-968120

传 真: 029-85236987  | 备案/许可证号:陕ICP备05003741号-1

陕公网安备 61010302000727号